Arrowhead Children's Dentistry and Orthodontics

Smile Gallery

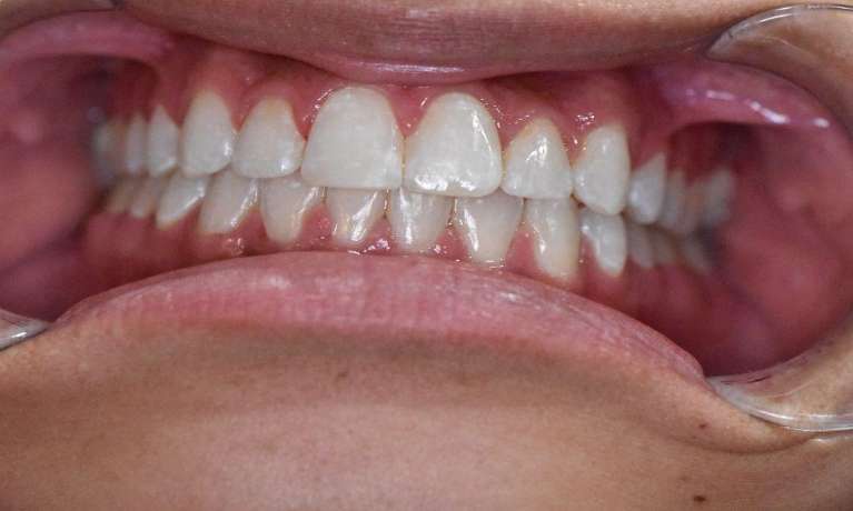
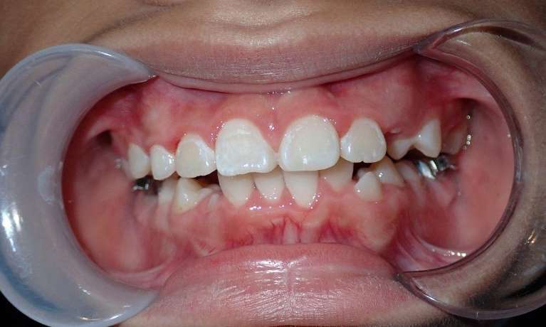
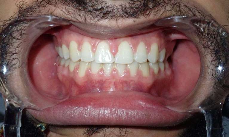
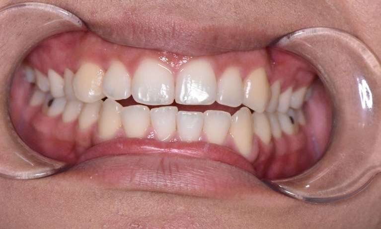
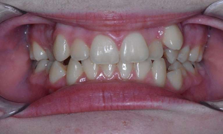
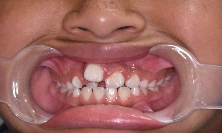
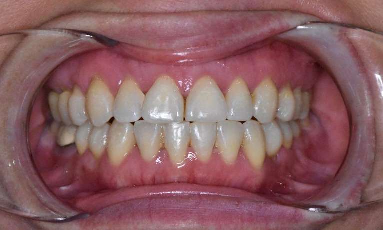
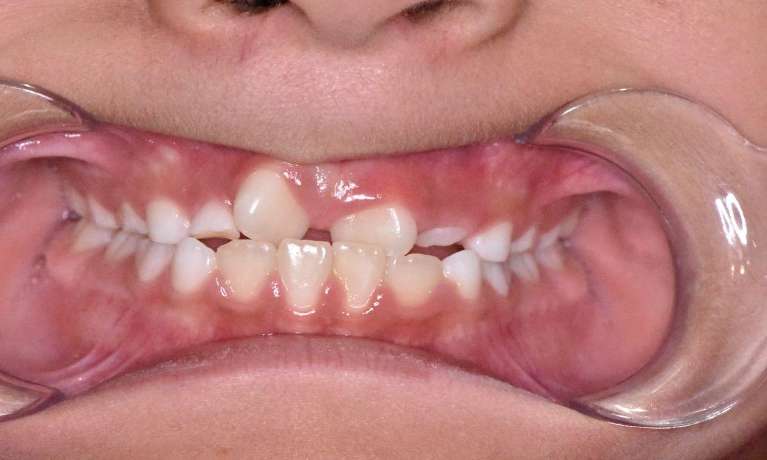
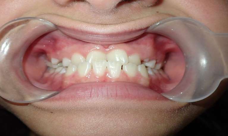
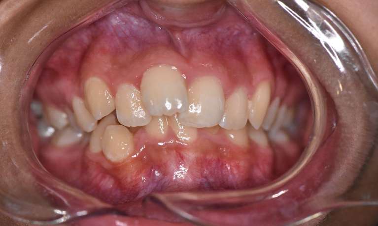
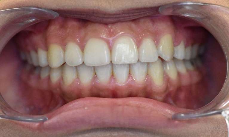
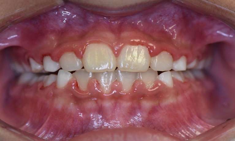
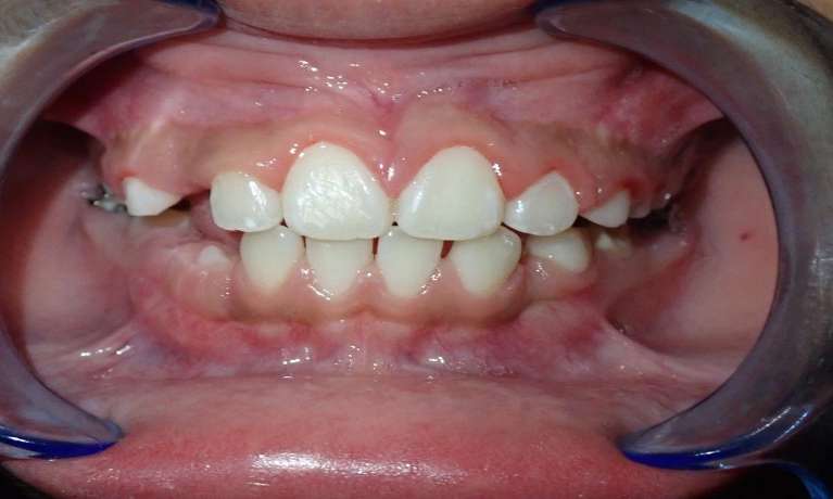
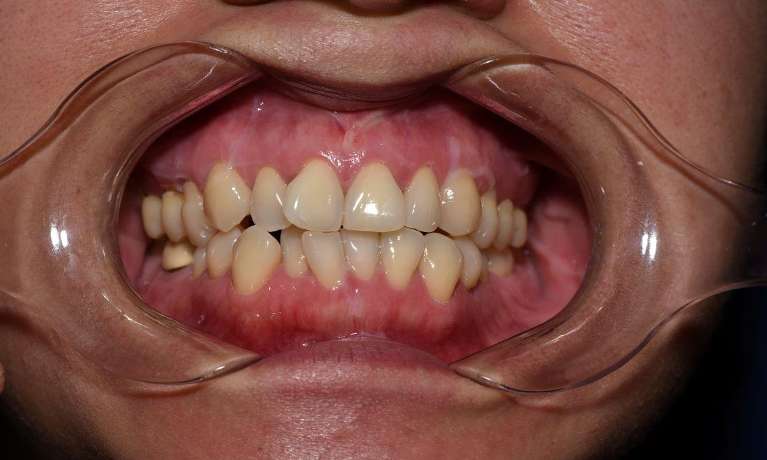
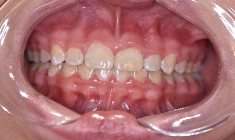
Please take a moment to browse through our before and after pictures of actual patients.

Not finding what you need?
Smile Gallery Categories
Very Kind Employees

Very very kind employees. While I was getting my teeth cleaned I even got to listen to Dr. Blane (not sure how his name is spelt) sing times like these by the foo fighters whilst he was also playing the guitar;)

- Samantha

If you have difficulty using our website, please email us or call us at (623) 825-0100
View the ADA Accessibility Statement
Privacy Policy